
Сегодня разберём, зачем врач назначает МСКТ аорты, как идёт исследование и как к нему подготовиться. В СМ-Клиника https://www.smclinic.ru/diagnosis/kompyuternaya-tomografiya-kt/mskt-aorty/ такое обследование помогает быстро понять, есть ли расширения, разрывы и тромбы в главной артерии. Текст простой. Без лишних терминов и сложных фраз.
МСКТ — это многосрезовая компьютерная томография. Аппарат делает серию снимков аорты за секунды. Контраст окрашивает кровь. Поэтому на изображениях видно просвет сосуда и его стенку.
Цель исследования простая: найти опасные изменения и оценить их размер и протяжённость. Врач ищет аневризму, расслаивание, тромб, бляшку, врождённые аномалии, послеоперационные осложнения. Кроме того, МСКТ помогает спланировать лечение и проверить его результат.
Есть две группы ситуаций.

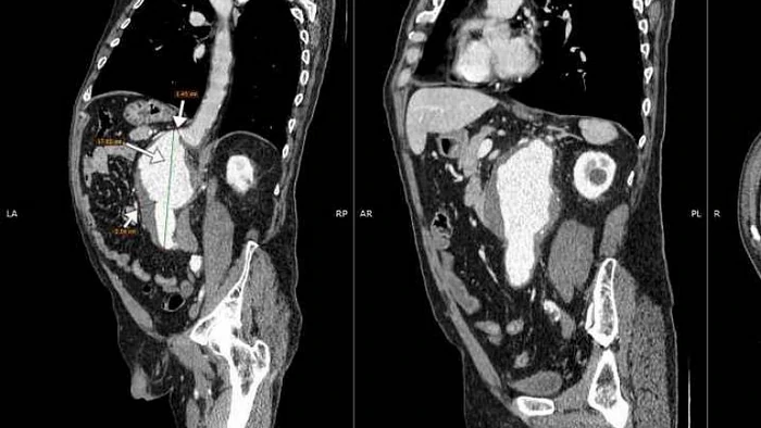
Картина напоминает 3D-модель. Можно измерить диаметр аорты буквально до миллиметра.
Аневризма выглядит как «вздутие». Это похоже на тонкое место в стенке садового шланга. Расслаивание — это «двойной ход» крови в стенке сосуда. Также видно кальцинаты, язвы бляшек, пристеночные тромбы. Поэтому врач чётко понимает, где опасность и как действовать.
Вы лежите на столе томографа. В вену идёт контраст. В груди или руке появляется короткое чувство тепла и металлический привкус. Это нормально и проходит.
Сканирование занимает 5–10 минут. Двигаться нельзя. Дают команды «вдох-задержка-выдох». После — короткое наблюдение и вы свободны. Пить воду полезно. Так контраст быстрее выводится.
Йодная аллергия в анамнезе — повод для подготовки по особому протоколу. Тяжёлая почечная недостаточность — риск для выведения контраста. Беременность — повод рассмотреть альтернативу. Масса тела выше предела аппарата — техническое ограничение. Всё дело в том, что безопасность важнее скорости.

Контраст на йоде нужен, чтобы увидеть просвет сосуда. Реакции редки. Обычно это краткая тошнота, жар, покраснение. Тяжёлые реакции встречаются нечасто. В клинике есть всё для помощи, поэтому обследование проводят под контролем врача и медсестры.
Лучевая нагрузка контролируется. Современные томографы используют низкодозные протоколы. Поэтому риск от снимков ниже, чем риск пропустить разрыв аневризмы или расслаивание.
УЗИ помогает при аневризме брюшной аорты и для скрининга. Но глубокие отделы и грудной отдел видны хуже.
МР-ангиография подходит, когда нельзя йодный контраст или важны тонкие детали стенки без рентгеновского излучения. Но время исследования больше, и есть ограничения по кардиостимуляторам и клаустрофобии.
Катетерная ангиография нужна, когда планируют сразу лечить: поставить стент-графт или выполнить другой эндоваскулярный шаг.
Вы получите диск или ссылку с изображениями и подробное заключение. Там будут размеры, точное расположение проблемы и чёткие рекомендации: наблюдение, дообследование, консультация сосудистого хирурга или план лечения. Поэтому следующий шаг понятен без догадок.
Больно ли это?
Нет. Укол как при обычной капельнице.
Можно ли за руль?
Да, если самочувствие нормальное и не было успокаивающих лекарств.
Можно ли диабетикам?
Да. Но лекарства и подготовку согласуйте заранее.
Сколько времени занимает готовность заключения?
Чаще в день исследования.
Сложные случаи требуют больше времени. А ещё возможен срочный протокол, если ситуация острая.
МСКТ аорты нужна, чтобы быстро и точно понять состояние главной артерии и не упустить опасность. Исследование помогает выбрать тактику: наблюдать, оперировать, стентировать или менять терапию. В СМ-Клиника https://www.smclinic.ru/diagnosis/kompyuternaya-tomografiya-kt/mskt-aorty/ исследование выполняют по современным протоколам, с контролем безопасности и понятными результатами на руках. Главное — правильно подготовиться, взять документы, рассказать врачу о лекарствах и аллергиях и прийти вовремя. Тогда снимки будут качественными, а план лечения — ясным.